【インビザラインGoを使用したマウスピース矯正の症例】

<はじめのご相談内容>
歯並びを治したいが、当院に来院される前に他院にて、
ワイヤー矯正及び4本の抜歯及びが必要になり、治療期間も2年半ほどかかる。
との診断を受けておりました。
他に矯正治療の方法がないかとご相談に来られました。
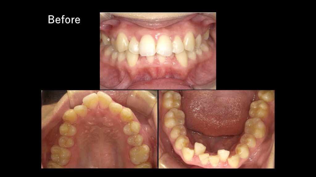
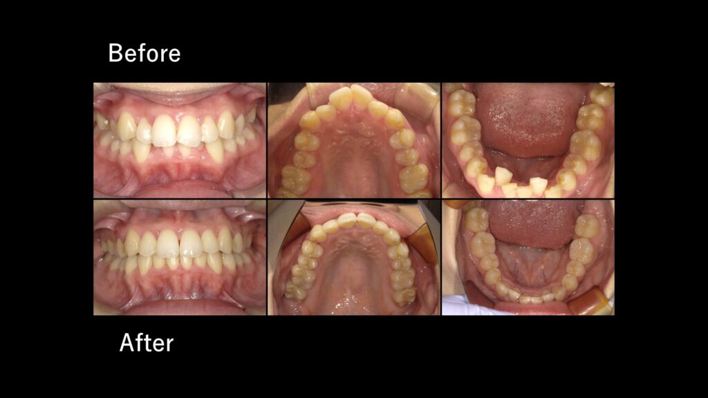
<診断結果>
歯と歯のすき間をディスキングにて確保できること、歯の動くスペースなども十分であることを確認し、非抜歯にて矯正が可能であることと、マウスピースでの矯正にて治療可能であると診断いたしました。


<治療内容>
インビザラインGo
<治療期間>
約6か月
<費用>
385,000円 (税込)
<経過・現在>
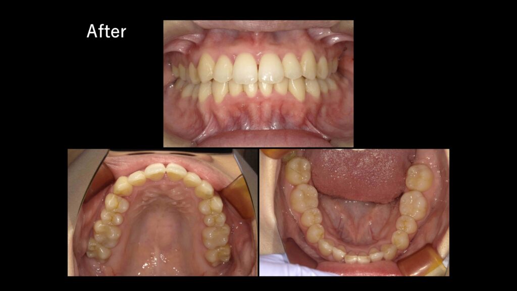
診断結果の通り、マウスピース装置を取り付けて治療をスタートしました。
非抜歯で治療を行えましたので、患者様への負担を減らすことができました。
また、治癒期間も短く、治療結果には大変満足しております。
現在の経過は良好です。

<利点>
・非抜歯にて矯正が行える
・期間が短くなる
・食事や歯磨きの際に装置を外せる
・審美的改善
<リスク>
・後戻りする可能性がある
・動きにくい場合はワイヤー矯正にて修正の可能性がある










